荨麻疹和风疹有什么区别?深圳新兴白癜风医院的专家指出现在随着天气的变化,荨麻疹患者是越来越多,很多患者由于对荨麻疹不是特别的了解,但是对于此病的治疗患者需要正确辨证诊断就治,那么荨麻疹有什么症状呢?荨麻疹和风疹有什么区别?

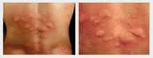
风疹与荨麻疹
荨麻疹的症状有哪些?荨麻疹:是一种过敏性皮肤病,一般也多见于秋冬季等大风的天气。风带来的过敏原极易引起发病,同时,常见的一些食物也会引起发病。发病时,在皮肤表面会突起很多像被蚊虫叮咬的大包,由少到多,成片出现,一般一小时内会自动消退。
风疹的症状有哪些?风疹:是一种病毒引起的急性呼吸道传染病,多发于冬春季节,传染性很强,一般通过空气飞沫传播。疹在冬季最为多见。大风降温之后,就开始感觉有发热、咳嗽等上呼吸道感染的症状,后来发展为全身皮疹,瘙痒难忍。
通过以上专家的介绍,我们可以了解到这两种疾病的发生虽然那没有跟大风有直接关系,不过也是有着必然的联系,而且它们的危害性还是很大的。严重的急性荨麻疹还可以发生在喉头,造成喉头水肿,影响呼吸道的畅通,容易造成呼吸障碍,缺氧综合症等一系列缺氧常见的症状,会严重影响脏器的功能,而导致更严重的并发症。
深圳新兴白癜风医院的专家指出,荨麻疹影响患者的生活,以前人们对皮肤病了解不多,认为皮肤病均是小毛病,不必重视,所以生了荨麻疹后尤其是慢性荨麻疹采取无所谓的态度,这是不正确的。我们知道荨麻疹不是小毛病,严重时同样可以造成呼吸道阻塞引起窒息或出现心慌、大汗、血压下降等过敏休克的表现。
更重要的是慢性荨麻疹病人的潜在病因,可能就是其他更严重的内科疾病的表现之一,如系统性红斑狼疮、甲状腺功能亢进症、白血病、内脏肿瘤等。
【推荐疗法】深圳新兴皮肤病医院“3T通调疗法”彻底治疗荨麻疹
“3T通调疗法”根据中医“病在肌肤,根在血液,治血必治脏”的理论,采用医外治法(穴位介入、净血疗法)、免疫调节系统和中药熏蒸法完美融合的中医治疗理念,采用现代生物工程技术与中医的草本化和西医的现代化联合应用。针对各种不同原因所致的皮炎、湿疹、荨麻疹,采用个性化临床治疗方案,可以彻底治疗各种皮炎、湿疹、荨麻疹。
【温馨贴士】为了更好的预防和治疗皮肤病,患者最好能亲临本中心,专家会为您进行全面诊断,然后制定最适合您的治疗方案!如果您有更多健康问题,欢迎点击咨询在线专家。
没有满意的回答?现在提问,马上有答案
- 上一篇:各种会引发荨麻疹的过敏源
- 下一篇:什么是巨型荨麻疹
- 邓勤军 职称:执业医师
- 擅长:梅毒、淋病、生殖器疱疹、尖锐湿疣等性传播疾病
点击咨询 已帮助 : 29307
- 孙华英 职称:执业医师
- 擅长:生殖器疱疹、尖锐湿疣、人乳头瘤病毒等性传播疾病。
点击咨询 已帮助 : 33356
医院地址:深圳市罗湖区东门中路1018号
医师QQ: 1207526885
健康热线: 0755-25661122


























